Deep Learning Based Segmentation of Body Parts in CT Localizers and Application to Scan Planning

DEEP LEARNING BASED SEGMENTATION OF BODY PARTS IN CT LOCALIZERS ANDAPPLICATION TO SCAN PLANNING

Table of Contents

Abstract

in this paper, we propose a deep learning approach for the segmentation of body parts in computer tomography (CT) localizer images. Such images pose dif[1]culties in the automatic image analysis on account of variable [1]eld-of-view, diverse patient positioning, and image acquisition at a low dose, but are of importance pertaining to their most prominent applications in scan planning and dose modulation. Following the success of deep learning technology in image segmentation applications, we investigate the use of fully convolutional neural network architecture to achieve the segmentation of our anatomies: abdomen, chest, pelvis, and brain. The method is further extended to generate plan boxes for the individual as well as multiple combined anatomies and compared against the existing techniques. The performance of the method is evaluated on 771 multi-site localizer images.

  • Author Keywords

    • CT,
    • deep learning,
    • image segmentation,
    • fully-convolutional networks,
    • localizers
  • IEEE Keywords

    • Image segmentation,
    • Computed tomography,
    • Planning,
    • Pelvis,
    • Training,
    • Abdomen,
    • Machine learning

Introduction

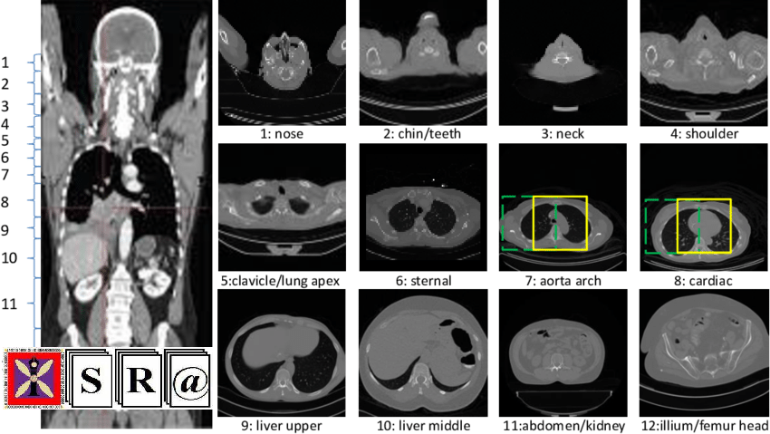
The work ow in CT begins commonly with the acquisition of localizer images, which are also known as scouts or surviews. Such images are acquired prior to the diagnostic scan, with the conventional radiographic projection techniques while the tube is in a stationary position. Typically, the frontal and/or lateral view positions are used. The localizer images play a vital role in optimizing the dose parameters for the subsequent CT scans and in scan planning. The scan plans are generated by the operator for each CT scan by marking a box around the target anatomy, making sure to include all relevant anatomical structures while keeping the box extents minimal.

In contrast to CT images, the localizer images exhibitunnormalized intensities. Also, the overlapping arising from projection results in a lack of differentiation between bodyparts. Such image characteristics pose challenges in their use for image processing applications such as classi[1]cation segmentation. Previous works in this regard include landmark detection in the thorax [1] and annotation of medical radiographs into salient anatomical regions [2]. In [3], a registration-based method was presented for liver slice and navigator position planning using a set of stacked 2D localizer images. Most recently, Saalbach et al. [4] proposed a method for the auto-mated anatomy detection by employing a sequence of classi-[1]ers to [1]rst localize individual anatomies and a probabilistic model to obtain the joint localization of combined anatomies. However, there are several limitations of this method: This approach is limited to obtaining an approximate localization of the anatomies and it can-not generates the segmentation, which could allow dose optimization as well as dose computation for the individual anatomies. Also, in the localization step, the use of Haar basis functions (which have an explicit mathematical formulation) could limit the adaptability of the method. Finally, such a multi-step approach can not be trained in an end-to-end fashion.

To alleviate these drawbacks and in order to develop technology that minimizes the efforts in training such systems while maintaining accuracy, we investigated deep learn-ing methods that have gained enormous attention in recent years. These methods enable the development of end-to-end systems and facilitate implicit learning of network parameters from the training data, resulting in better data adaptability. Deep learning techniques are currently the state-of-the-art in many image processing applications such as segmentation [5] and have achieved performance on par with the medical professionals [6, 7].

In this paper, we investigated a deep learning-based segmentation technique knows as Fovea Convolutional NeuralNetwork (F-Net) [8]. This architecture has been successfully employed for multi-organ segmentation in CT images. As opposed to the use of high-resolution 3D CT images, our method is novel in terms of the use of localizer images for the automatic segmentation of multiple anatomies. Finally, we extended this method for an application to scan planning, as done by Saalbach et al. [4], and compared the two methods. A brief outline of the paper is as follows. In Section 2, we describe the dataset used to train and evaluate our method. We elaborate on the proposed method in Section 3. The results and conclusions are discussed in Sections 4 and 5, respectively.

Conclusion

We presented a deep learning-based approach to segment selected body parts in CT localizer images, with an extension toa clinically important application of scan planning. We employed a multi-resolution, fully-convolutional neural network architecture F-Net, for the segmentation of body parts in a challenging dataset. Robust results were obtained for fouranatomies using the same set of training parameters. The proven scalability of our approach should allow the introduction of more anatomies relevant for the CT work ow. As one of the applications of our segmentation technique, scan planning results showed high accordance between our method and the expert annotations and outperformed a previously proposed method. In addition, the segmentation method could be employed in promising future applications such as dose optimization or dose computation using localizer images.

About KSRA

The Kavian Scientific Research Association (KSRA) is a non-profit research organization to provide research / educational services in December 2013. The members of the community had formed a virtual group on the Viber social network. The core of the Kavian Scientific Association was formed with these members as founders. These individuals, led by Professor Siavosh Kaviani, decided to launch a scientific / research association with an emphasis on education.

KSRA research association, as a non-profit research firm, is committed to providing research services in the field of knowledge. The main beneficiaries of this association are public or private knowledge-based companies, students, researchers, researchers, professors, universities, and industrial and semi-industrial centers around the world.

Our main services Based on Education for all Spectrum people in the world. We want to make an integration between researches and educations. We believe education is the main right of Human beings. So our services should be concentrated on inclusive education.

The KSRA team partners with local under-served communities around the world to improve the access to and quality of knowledge based on education, amplify and augment learning programs where they exist, and create new opportunities for e-learning where traditional education systems are lacking or non-existent.

FULL Paper PDF file:

DEEP LEARNING BASED SEGMENTATION OF BODY PARTS IN CT LOCALIZERS AND APPLICATION TO SCAN PLANNING

Bibliography

author

H. Deshpande, M. Bergtholdt, S. Gotman, A. Saalbach and J. Sénégas,

Year

2020

Title

Deep Learning-Based Segmentation of Body Parts in CT Localizers and Application to Scan Planning

Publish in

2020 IEEE 17th International Symposium on Biomedical Imaging (ISBI), Iowa City, IA, USA, 2020, pp. 1130-1133,

Doi

10.1109/ISBI45749.2020.9098429

PDF reference and original file: Click here