Improving the Quality of Electronic Cleansing of Colorectal CT Images Using a Hybrid Method

Improving the Quality of Electronic Cleansing of Colorectal CT Images Using a Hybrid Method

Table of Contents

Abstract

Introduction: Colorectal cancer, as one of the most important fatal cancers, is caused by the lack of timely diagnosis of colorectal polyps. Presently, because of the advancements in CT imaging of the colorectal device, the CTC-CAD is a promising method for the duly diagnosis of these appendages. In this regard, Electronic Colon Cleansing (ECC) is one of the effective factors that enhance diagnostic accuracy in the methods used in CTC-CAD. To date, various methods have been utilized for ECC (e.g., the mosaic decomposition (MD) method) that each has advantages and limitations. Therefore, the aim of this study is to combine the methods of linear computing of previous studies and also some image processing methods to improve the quality of electronic cleansing of data on residual materials that existed in CT colorectal images. This proposed method is called LM_ECC.

Method: In this study, to implement ECC, the thresholding method, statistical functions, and image processing methods were combined. Then, to evaluate the proposed method, 22 images were randomly selected and ranked by seven radiologists. Regarding the extent of the interpretable, the images taken before and after ECC were collected using MD and LM_ECC methods. The concordance of all three categories of opinions was calculated based on Kendall’s tau-b correlation coefficient test. Next, the average of the ranked opinions obtained for the main images and the results of the LM_ECC method, as well as for the MD and the LM_ECC method, were included in two T-tests.

Findings: The value of the t-test between the mean score of radiologists’ opinions for the main images and the results of the LM_ECC method (p <0.001) is -9.355, while it is -5.414 between the mean score of radiologists for the MD results and the results obtained from the LM_ECC method (p <0.001).

Conclusion: Based on the coefficient of concordance, it is found that there is a high agreement between the ranked opinions of the radiologists, based on which the results of the T-tests show the significant effect of the LM_ECC method on electronic cleansing compared to the main images and the results of MD method. Therefore, it can be concluded that the LM_ECC method is able to improve the quality of electronic cleansing of colorectal CT images.

Keywords:

Electronic Colon Cleansing, CAD, Polypeptide diagnosis, CT Colonography

Introduction

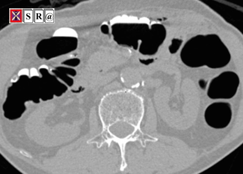
Given the death rate of 57,000 per year due to colon cancer in the United States and recent advances in colorectal imaging by Computerized Tomography (CT) technology, the CT Colonography (CTC) is known a tool for detecting intestinal cancer. CTC is a CT imaging from the abdominal cavity, which is done to detect colorectal polyps. CTC images are utilized in computer-aided diagnostic systems. CTC-CADs consist of three main parts: patient preparation before imaging, standard imaging, and soft computing on images for diagnosis. All diagnostic techniques of CTC-CADs require those images that do not have confusing data because the remainder of the residual materials from the colon can be misinterpreted as a part of the colon. Therefore, it would result in increasing the false positives and subsequently reducing accuracy. Today, the electronic cleansing of colorectal CT images is considered a promising technique to remove the residual material in CTC images for the purification of the virtual cleansing after imaging.
The first and most basic solution proposed for identifying the confounding data is the thresholding method. The methods in this regard were introduced based on the use of statistical image features, vector quantization (in order to dimension reduction), image gradient information, and the classification of the Markov random field. Further methods have focused on using edge modeling during image categorization to effectively describe the labeled areas. Afterward, the image gradient was used in the later methods using a Sobel mask filtering. Then, more complex and effective algorithms with several carefully designed steps were proposed. These efficient methods utilize the effective features of the images and the combination of several highly accurate categorization methods. For this purpose, Cai et al. (2011) presented the mosaic decomposition (MD) method. According to the report, the sensitivity of 97.1%, the specificity of 85.3%, the accuracy of 94.7%, and AUC = 0.96 can be obtained in the classification of areas containing residual material, which are approximately good results for ECC.
Many of the methods proposed for ECC employ nonlinear computing. Using this computation method may lead to heavy processing and subsequently increasing the run time. Unlike these methods, thresholding is a very simple method with linear computing; however, it contains many challenges. Firstly, thresholding does not eliminate the Partial Volume Effect (PVE), because the voxels of air and residual material are categorized incorrectly when using this method. Therefore, it has an inconsistent effect on segmentation. Secondly, as the thresholding method is sensitive to any range of intensities, a slight change in the threshold value results in a change in the segmentation result, especially the shape of the intestinal surface. Thirdly, thresholding increases the rippling effects of the intestinal tract. Thus, a sharp boundary between the colon and the internal colon space is created, which means the removal of the mucous membrane and the mucous membrane is the key to the discovery of the polyps, and its removal is very unsatisfactory.
The mentioned methods that utilized nonlinear computing such as the MD method have obtained relatively good results, but other methods can also be presented to improve the quality of electronic cleansing image using linear computing methods such as thresholding and solving its challenges. The aim of this study is to provide a combination of linear methods and some image processing methods in order to improve the quality of electronic cleansing of CTC images.

Conclusion

Based on the results of the T-test to compare the effect of the LM_ECC method on the quality of the main images compared to the MD method on the quality of the same images it is clear that there is a significant difference between the pre-test and the post-test. The results in this test with the degree of freedom of 21, show that the scores of electronic cleansing data are significantly higher than the MD method using the LM_ECC method. Therefore, according to test results, the null hypothesis is rejected. This means that LM_ECC has a significant effect on the quality of image cleansing as compared to the MD method. Finally, based on the computational results of the tests, it can be concluded that the LM_ECC method, which benefits the advantages of linear methods and methods of image processing neighborhood analysis to improve the quality of electronic cleansing images, is able to improve the quality of these images in practice compared to main images and the MD method.

About KSRA

The Kavian Scientific Research Association (KSRA) is a non-profit research organization to provide research / educational services in December 2013. The members of the community had formed a virtual group on the Viber social network. The core of the Kavian Scientific Association was formed with these members as founders. These individuals, led by Professor Siavosh Kaviani, decided to launch a scientific / research association with an emphasis on education.

KSRA research association, as a non-profit research firm, is committed to providing research services in the field of knowledge. The main beneficiaries of this association are public or private knowledge-based companies, students, researchers, researchers, professors, universities, and industrial and semi-industrial centers around the world.

Our main services Based on Education for all Spectrum people in the world. We want to make an integration between researches and educations. We believe education is the main right of Human beings. So our services should be concentrated on inclusive education.

The KSRA team partners with local under-served communities around the world to improve the access to and quality of knowledge based on education, amplify and augment learning programs where they exist, and create new opportunities for e-learning where traditional education systems are lacking or non-existent.

FULL Paper PDF file:

Improving the Quality of Electronic Cleansing of Colorectal CT Images Using a Hybrid Method

Bibliography

author

Hamid Moghaddasi, Hossein Beigi Harchegani, Mahtab Shaebani, Hamid Beigy, Babak SalavatiPour

Year

2019

Title

Improving the Quality of Electronic Cleansing of Colorectal CT Images Using a Hybrid Method

Publish in

Journal of Biomedical Engineering and Medical Imaging

Doi

https://doi.org/10.14738/jbemi.61.6157

PDF reference and original file: Click here